Recomandari 13 Mar.
Recomandari 11:54
Nu ai cont? Aboneaza-te
Social 14 Feb. 2013
Cuplurile din Romania si din alte tari din Europa Centrala si de Est sunt foarte atente la detalii atunci cand fac pregatirile pentru nunta, folosind accesorii care provin din China mai ales pentru obiectele oferite in dar invitatilor.
Incredibil 12 Feb. 2013
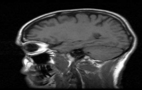
Tomografiile reprezinta o metoda eficienta pentru a prezice durata unei relatii in cazul tinerelor cupluri, potrivit unui studiu realizat de cercetatorii de la Universitatea Brown din Rhode Island (SUA).
International 11 Feb. 2013
Stramosul comun al mamiferelor placentare a aparut pe Terra dupa extinctia dinozaurilor, petrecuta in urma cu 65 de milioane de ani, afirma autorii unui studiu publicat joi.
Business 08 Feb. 2013
Aproape jumatate dintre antreprenorii romani nu au absolvit un liceu sau o facultate.
Incredibil 07 Feb. 2013
Bauturile dietetice, recomandate in multe dintre curele de slabire, nu sunt recomandate pentru cocteilurile care contin alcool, pentru ca induc mai repede starea de ebrietate.
Medicul Gerhard Roth din Bremen sustine ca "regiunea raului" se afla in lobul cerebral central si apare pe radiografii sub forma unei mase intunecate.
Social 06 Feb. 2013
Studiul a fost realizat pe un esantion de 600 de copii cu varste intre sapte si 18 ani si 600 de parinti.
Incredibil 05 Feb. 2013
Barbatii care petrec peste 20 de ore pe saptamana in fata televizorului ar avea o calitate a spermei inferioara.
Business 05 Feb. 2013
Valoarea pietei de fuziuni si achizitii din Romania s-a dublat in 2012, in comparatie cu anul 2011.
Incredibil 04 Feb. 2013
O persoana arde doar 21 de calorii cand face sex, contrar miturilor mai optimiste, potrivit carora s-ar pierde aproximativ 300 de calorii in timpul unei partide de sex.
Social 01 Feb. 2013
Doar sase la suta dintre romani cred ca ursul brun reprezinta o amenintare, in timp ce 78% vor protejarea speciei.
Incredibil 31 Jan. 2013
Cu cat un barbat casatorit aloca un timp mai mare sarcinilor menajere - precum curatenia, gatitul si mersul la cumparaturi -, cu atat acesta intretine mai putine raporturi sexuale, potrivit unui studiu.
Utilizarea luminii albastre, in experimentele pe animale, s-a dovedit a fi surprinzator de eficienta in tratarea unor infectii ale pielii.
Incredibil 30 Jan. 2013
Profesorul Hirofumi Tachibana, autorul studiului, afirma ca in cursul acestui an vor avea loc teste clinice pe oameni in Statele Unite.
Incredibil 29 Jan. 2013
Asigurarea stabilitatii financiare prin intermediul casatoriei pare a fi in zilele noastre mult mai importanta pentru tinerii barbati decat pentru tinerele femei, afirma autorii unui studiu realizat in Marea Britanie.
Incredibil 28 Jan. 2013
Barbatii s-ar putea sa se supere pe un grup de cercetatori americani care argumenteaza ca sexul este la fel de placut, cu sau fara prezervativ.
Social 25 Jan. 2013
Ponderea romanilor cu varsta peste 15 ani care utilizeaza internetul a urcat la 48,7% anul trecut, cu 8,4 puncte procentuale peste nivelul din 2010.
Incredibil 24 Jan. 2013
Oamenii se simt cu adevarat bine si in forma doar 61 de zile pe an, in restul timpului ei fiind afectati de boli mai mult sau mai putin grave.
Incredibil 23 Jan. 2013
Oamenii de stiinta au descoperit ca persoanele care au suferit vatamari ale unor parti de mici dimensiuni din creier, sunt mai generoase.
Incredibil 22 Jan. 2013
Eunucii au o viata mai lunga si mai sanatoasa, pentru ca nu mai produc la fel de mult testosteron.
Incredibil 21 Jan. 2013
Conform studiilor, chinezii nascuti dupa 1979 (cand a fost introdusa limitarea copiilor din familiile urbane) sunt nevrotici, pesimisti, ne-competitivi.
Incredibil 18 Jan. 2013
Acest studiu ar trebui, potrivit autorului sau, sa clarifice controversele despre originea evreilor europeni, care dateaza de peste doua secole.
Cercetatorii au confirmat ca exista intr-adevar oameni cu o predispozitie innascuta de a conduce, iar aceasta tendinta este determinata de prezenta unei anumite gene.
Incredibil 16 Jan. 2013
Cimpanzeii poseda simtul echitatii, o trasatura despre care oamenii de stiinta credeau ca apartine doar oamenilor.
Incredibil 15 Jan. 2013
Potrivit unei noi cercetari, oamenii de stiinta au ajuns la concluzia ca pestii nu sufera atunci cand sunt prinsi in carlig pentru ca nu au suficienti receptori senzoriali in celulele nervoase pentru a suferi.
Social 10 Jan. 2013
Trei sferturi dintre romani considera ca in ultimul deceniu s-a deteriorat calitatea aerului din Romania, potrivit unui studiu Eurobarometru.
Incredibil 27 Dec. 2012
Persoanele temperamentale, care isi exprima emotiile negative, traiesc mai mult, conform unui studiu.
Incredibil 21 Dec. 2012
Mana umana a evoluat pentru a permite lovirea cu pumnul, nu doar pentru a il face pe om mai abil, potrivit unui studiu realizat de o echipa de cercetatori.
Testele care calculeaza un "coeficient de inteligenta" au strans impotriva lor mai multe acuzatii de subiectivitate.
Incredibil 19 Dec. 2012
Motivul pentru care Rudolf, unul dintre renii lui Mos Craciun, are nasul rosu a fost dezvaluit de cercetatorii norvegieni si olandezi.
Business 14 Dec. 2012
O cercetare online despre consumul de tehnologie in Romania, dublata de un show experimental LIVE cu Vlad Petreanu si Cabral Ibacka arata rolul vital pe care il joaca serviciile de comunicatii in rezolvarea provocarilor care apar in viata de zi cu zi.
LifeStar 13 Dec. 2012
Editorii site-ului AskMen.com au continuat traditia lor de a realiza la finalul anului topul celor mai dorite femei din lume.
Business 12 Dec. 2012
Europenii bogati au avut in 2012 cel mai putin profitabil an de la debutul crizei, conform unui studiu.
Business 11 Dec. 2012
Mai putin de o cincime (17%) dintre angajatorii din Romania sustin ca vor face noi angajari in urmatoarele trei luni.
Incredibil 10 Dec. 2012
Oamenii de stiinta au lansat un avertisment, vineri, in legatura cu disparitia alarmanta a arborilor uriasi si foarte batrani.
Incredibil 05 Dec. 2012
Un studiu al cercetatorilor de la Universitatea Yale arata ca stresul cotidian poate duce la micsorarea unor parti importante ale creierului.
Incredibil 03 Dec. 2012
Din punct de vedere evolutionar, barbatii sunt predispusi sa aloce resurse mai mari pentru ingrijirea copiilor surorilor decat pentru proprii copii.
Nu exista niciun dubiu ca barbatii si femeile gandesc diferit.
Business 03 Dec. 2012
Numarul retailerilor interesati sa se extinda pe piata romaneasca anul viitor este mai mic decat cel din 2011.