Recomandari 19:04
Recomandari 18:54
Recomandari 18:28
Nu ai cont? Aboneaza-te
Showbiz scris de Diana Oprișan 01 Mar. 2023
Mihai Morar a dat câteva detalii despre starea de sănătatea a fiicei sale, Roua, care a suferit o intervenție complicată, în urmă cu aproximativ două luni care nu a afectat-o doar pe ea, ci și pe întreaga familiei. Tatăl ei a luat o pauză de la carieră și a preferat să îi fie alături zi și noapte.
Showbiz scris de Diana Oprișan 03 Nov. 2021
În urmă cu ceva vreme, Liviu Vârciu a postat pe contul lui oficial de Instagram o filmare în care era consultat de niște medici de pe ambulanță. La vremea aceea, acesta nu a dat prea multe detalii despre ceea ce i se întâmplase, lăsându-și fanii cu multe semne de întrebare legate de sănătatea sa.
Sanatate 25 Mar. 2021
Pneumonia reprezintă o infecție a plămânilor care poate pune viața în pericol. Putând avea numeroase cauze, de la infecții bacteriene, la infecții fungice sau virale, afecțiunea produce o inflamare a țesuturilor pulmonare, ducând în cele din urmă la umplerea cu lichid a alveolelor pulmonare.
Sanatate scris de Valentina Podgorneac 18 Nov. 2020
Corpul uman adesea ne transmite semne când ceva este în neregulă. Trebuie doar să fim atenți. Iată ce semne îți pot da plămânii tăi când au nevoie d
Sanatate 23 Sep. 2020
Se pare că unele dintre aceste semne sunt destul de ușor de neglijat, dar dacă acorzi atenție, acestea ți-ar putea salva viața.
International 26 Mar. 2020
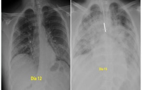
Radiografia unei persoane infectate cu Covid-19 arată efectul dramatic pe care îl are virusul asupra plămânilor pacienților.
Sanatate 21 Mar. 2020
Poluarea si fumatul sunt principalele probleme cu care se confrunta plamanii nostri, iar pentru a-i curata ai nevoie de doar cateva alimente simple pe care cu siguranta le ai deja in casa.
Social 15 Jan. 2020
Primarul Capitalei, a anuntat ca s-a realizat cel de-al optulea transplant de plamani in spitalul de stat "Sf. Maria" din Bucuresti.
Business 22 Nov. 2019
Un clip video socant a fost prezentat de medicii de la spitatul Wuxi din Jiangsu, China. Acestia au reusit sa extraga plamanaii unui barbat in varsta de 52 de ani, care a murit din cauza mai multor afectiuni pulmonare. Acesta a fost fumator timp de trei decenii.
Social 14 Aug. 2019
Expunerea pe termen lung la poluarea atmosferica poate exacerba afectiunile pulmonare la fel de mult ca un pachet de tigari fumat pe zi, conform unui studiu citat marti de Press Association.
International 08 Sep. 2018
"Modificarile climatice au efecte negative asupra sanatatii noastre respiratorii" si o eventuala intarziere a limitarii lor va avea "consecinte ireversibile asupra sanatatii", au anuntat vineri cinci organizatii, inclusiv Societatea Europeana pentru Boli Respiratorii (ERS), al carei sediu se afla la Lausanne, inainte cu cateva zile de congresul sau de la Paris, informeaza AFP.
Incredibil 09 Jul. 2018
Avand in vedere ca aerul pe care il respiram contine multe substante din mediul inconjurator (polen, praf, bacterii, fum, virusuri, substante chimice volatile, etc.), plamanii trebuie sa isi mentina activ sistemul de aparare impotriva acestori invadatori cu potential toxic. Potrivit site-ului Reader`s Digest exista anumite alimente care iti vor ajuta plamanii sa functioneze mai bine si sa poti respira in voie. Iata care sunt:
Incredibil scris de Clara Vacaru 03 Jul. 2018
Ministrul sanatatii, Sorina Pintea, a comentat, la Dgi24, cazul lui Calin Farcas, tanarul care a murit la 29 de ani in asteptarea acceptului pentru un transplant de plamani.
Social 03 Apr. 2017
Cercetatorii au ajuns la o concluzie care va putea ajuta lumea medicala sa conceapa noi tratamente.
Incredibil 28 Sep. 2015
Misterul din spatele faptului ca anumite persoane par sa aiba plamani sanatosi la varsta a treia, in ciuda faptului ca au fumat aproape intreaga lor viata adulta, a fost descifrat de cercetatorii din Marea Britanie, informeaza bbc.com.
Social 04 Sep. 2015
9AM.ro va prezinta cateva alimente pe care ar trebui sa le evitati in cazul in care aveti astm sau pentru a va proteja un organ foarte important: plamanii.
Social 28 Jul. 2015
Stii de cate ori bate inima ta intr-un an? Iata cateva dintre cele mai interesante lucruri pe care nu le stiai despre inima.
Social 13 Jul. 2015
Exista mult mai multe beneficii fizice, emotionale, psihologice si sociale ale cantatului de care nu ti-ai dat seama pana acum. Iata cateva dintre acestea!
Social 02 Jul. 2015
Grasimea este de cele mai multe ori prezentata intr-o lumina negativa, insa acestea este esentiala pentru sanatatea nostra, oferind o serie de beneficii.
Social 21 Jun. 2015
Daca mananci mai mult cu 10 grame de fibre zilnic, se poate reduce riscul de deces prematur cu 10%. Iata cateva motive pentru a consuma zilnic 25 g de fibre.
Incredibil 18 May. 2015
O terapie revolutionara are potentialul de a ameliora considerabil calitatea vietii pentru pacientii diagnosticati cu fibroza chistica.
Incredibil 11 May. 2015
Un dispozitiv revolutionar, creat de medicii londonezi, este capabil sa mentina in viata plamanii si alte organe vitale, in afara corpului.
Incredibil 27 Aug. 2014
Fumatul afecteaza toate organele corpului, putand sa cauzeze, pe langa cancer pulmonar, numeroase afectiuni grave.
Social 29 May. 2014
Un profesor din Hong Kong, Ryan Au, a facut un experiment pentru a arata studentilor sai cat de periculos este fumatul si pentru a incerca sa-i faca sa renunte la acest viciu.
International 06 Dec. 2013
Fostul presedinte al Africii de Sud s-a stins joi din viata la varsta de 95 de ani.
International 12 Dec. 2012
Fostul presedinte sud-african, Nelson Mandela, sufera de o infectie recurenta la plamani, dar raspunde bine la tratamentul medical aplicat.
LifeStar 26 Sep. 2012
Lindsay Lohan se afla la New York cand o infectie la plamani i-a cauzat o criza severa.
Incredibil 06 Feb. 2012
Bacteria ce a afectat deja mai multe tari se transmite cu usurinta in randul persoanelor sanatoase.
Incredibil 13 May. 2011
Tehnica inovatoare: Au fost descoperite celulele susa care ajuta la regenerarea plamanilor.
Incredibil 11 Feb. 2011
Cateva sute de oameni lucreaza in inima vulcanului Ijen din Indonezia, riscandu-si viata in fiecare zi, pentru cativa dolari.
Foloseste formularul de mai jos