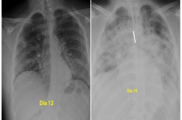
Radiografia unei persoane infectate cu Covid-19 arată efectul dramatic pe care îl are virusul asupra plămânilor pacienților.
Un pneumolog din Spania a postat pe Twitter radiografia unui pacient în vârstă de 28 de ani care a făcut o formă gravă de coronavirus. Radiografiile sunt realizate la doar trei zile distanță și arată gradul de degradare a plămânilor.
"Pentru cei care se cred invincibili și continuă să iasă în parc, ignorând ordinele de a ramâne în casă, acestea sunt radiografiile unui tânăr de 28 de ani intubat la Terapie Intensivă în spitalul meu cu coronavirus. Indiciu: plămânii sunt negri, albul este pneumonie, "a scris pneumologul pe rețeaua de socializare.
Para los que se creen inmortales y siguen saliendo al parque sin hacer caso a la orden de permanecer en domicilio, estas son las radiografías de un chico de 28 años intubado en la UCI en mi hospital por #coronavirus. Pista: los pulmones es lo negro, lo blanco es neumonía pic.twitter.com/HsWOj43EVv
— Donni (@donni__69) March 15, 2020
Situația a luat o turnură dramatică în Spania unde numărul deceselor este în creștere. Peninsula iberică se apropie tot mai mult de recordurile din Italia.
Despre autor:
Te-ar putea interesa si:
In lipsa unui acord scris din partea Internet Corp, puteti prelua maxim 500 de caractere din acest articol daca precizati sursa si daca inserati vizibil linkul articolului.
Mai multe despre
-
Ce planuri are PKO Bank în România: cea mai mare bancă din Polonia are active...
Sursa: futurebanking.ro
-
Sumă record cheltuită de utilizatorii OnlyFans în 2024. Câți bani au ajuns la...
Sursa: wall-street.ro
-
Un brand britanic de fish and chips intră pe piața din România. Cine este...
Sursa: retail.ro
-
Test Drive Renault Clio 6 E-Tech: sustenabil și economic, dar și două neajunsuri
Sursa: green.start-up.ro
-
Românul plecat din Giulvăz în Spania prin Erasmus și ajuns în Copenhaga, unde...
Sursa: start-up.ro
-
Horoscopul bani 6-12 aprilie: Zodiile care dau lovitura financiară săptămâna...
Sursa: garbo.ro
-
Denise Rifai revine pe Antena 1 cu o nouă emisiune. Ce surprize pregătește...
Sursa: kudika.ro