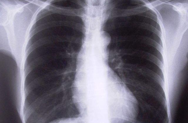
Medicii dintr-un spital londonez au utilizat o tehnologie medicala revolutionara ce a permis unei perechi de plamani "sa respire" in afara organismului donatorului pana la 24 de ore. Cercetatorii considera ca aceasta tehnica ar putea duce la dublarea numarului de transplanturi de plamani care sunt realizate cu succes in fiecare an. Dispozitivul a fost creat si testat la spitalul londonez Royal Brompton and Harefield, care a dezvoltat anul trecut o alta tehnica revolutionara, ce permite mentinerea in viata a inimilor recoltate din corpurile unor donatori de organe.
Pana la inventarea noului sistem, organele prelevate de la donatori erau plasate in cutii frigorifice si impachetate in gheata, pentru a preveni deteriorarea lor in timp ce sunt transportate la clinica in care urmeaza sa aiba loc transplantul. Acea metoda permite organelor sa ramana functionale, in afara organismului, timp de maximum sase ore.
Noua metoda, denumita "Organ Care System" (OCS), permite mentinerea "in viata" a plamanilor donatorilor timp de o zi intreaga. Dispozitivul OCS permite pastrarea plamanilor in aceleasi conditii ca si cum acestia s-ar afla intr-un corp uman. Plamanii sunt plasati intr-o cutie portabila, sigilata cu plastic, care contine in interior o pompa ce asigura un flux constant de sange catre organe. Un ventilator din cutie umfla si dezumfla plamanii. Expertii in domeniu spun ca tehnologia "plamanului care respira" poate ameliora starea in care se afla organele recoltate. Ea ofera, de asemenea, posibilitatea ca plamanii prelevati de la donatori sa poata fi transportati pe distante mari, ramanand instr-o stare suficient de buna pentru a fi transplantati dupa ce ajung la destinatie, chiar daca acea calatorie dureaza o zi intreaga, scrie MEDIAFAX.
Anchetă la spitalul Fundeni după operația de transplant
In prezent, din cauza deteriorarilor suferite in timpul operatiei de recoltare si a transportului, doar 20% din totalul plamanilor recoltati de la donatori pot fi utilizati pentru a fi transplantati. Andre Simon, seful sectiei de transplant de la spitalul Royal Brompton and Harefield, a realizat deja cu succes 12 operatii de transplant folosind metoda OCS. "Organele interne nu au fost niciodata create pentru a fi congelate in gheata. In trecut, nu aveam alternativa. Insa noul dispozitiv poate sa mareasca de patru ori durata de timp in care un organ poate fi pastrat inainte de a fi trasnplantat si are capacitatea de a dubla numarul de operatii de transplant si de a revolutiona transplantul de plamani", a declarat medicul britanic.
Despre autor:
Te-ar putea interesa si:
In lipsa unui acord scris din partea Internet Corp, puteti prelua maxim 500 de caractere din acest articol daca precizati sursa si daca inserati vizibil linkul articolului.
Mai multe despre
-
Ce planuri are PKO Bank în România: cea mai mare bancă din Polonia are active...
Sursa: futurebanking.ro
-
Sumă record cheltuită de utilizatorii OnlyFans în 2024. Câți bani au ajuns la...
Sursa: wall-street.ro
-
FRENVI, compania care îți pune pe masă tacâmuri sustenabile și comestibile
Sursa: green.start-up.ro
-
Adrian și Vlad Iliescu, Atelierele Ilbah: ”din nemulțumire se naște evoluția...
Sursa: start-up.ro
-
Un brand britanic de fish and chips intră pe piața din România. Cine este...
Sursa: retail.ro
-
Iubitul meu a vrut o relație deschisă, dar acum e gelos pe viața mea sexuală
Sursa: kudika.ro
-
Etalare Tarot Luna Plină în Rac din 3 ianuarie 2026: ce adevăr emoțional iese...
Sursa: garbo.ro