Entertainment 17:16
Entertainment 17:13
Recomandari 14:33
Nu ai cont? Aboneaza-te
Incredibil 01 Sep. 2015
Un sortiment de inghetata care nu se topeste a fost creat recent de cercetatorii scotieni, cu ajutorul unei proteine dintr-un aliment japonez traditional, care face ca preparatele culinare sa isi pastreze forma solida pentru o perioada mai indelungata, informeaza dailymail.co.uk.
Incredibil 02 Sep. 2015
Veninul viespilor Polybia paulista, o specie originara din Brazilia, ar putea deveni o "arma" extrem de eficienta in lupta impotriva cancerului, deoarece este capabil sa distruga tumorile, fara sa afecteze celulele sanatoase, informeaza huffingtonpost.com.
Incredibil 03 Sep. 2015
9AM.ro va prezinta cateva observatii greu de crezut despre articolele pe care le folosim tot timpul sau de care avem nevoie in anumite situatii.
Animalele care utilizeaza camuflajul in salbaticie au un avantaj imens, din moment ce unul dintre cele mai bune moduri de a supravietui este ascunderea de pericol. In ciuda faptului ca unele animale aleg locuri ciudate pentru a se ascunde, exista altele, care datorita abilitatilor incredibile de camuflaj, pot sta la vedere. Acestea, nu numai evita pericolul, ci se transforma in pericol pentru alte animale care devin prada. Iata cateva dintre animalele care detin intense competente de camuflaj.
Incredibil 04 Sep. 2015
Cercetatorii din orasul american Boston au reusit sa redea auzul unui grup de soareci care sufereau de surditate, cu ajutorul terapiei genice, informeaza Reuters.
Un eveniment astronomic foarte rar, ce consta in producerea simultana a doua fenomene spectaculoase - Super Luna si eclipsa de Luna -, va avea loc in noaptea de 27 septembrie spre 28 septembrie, informeaza huffingtonpost.com.
Incredibil 05 Sep. 2015
Administrarea de aspirina pacientilor diagnosticati cu cancer ar putea creste eficienta noilor medicamente - de obicei scumpe - care ajuta sistemul imunitar sa lupte impotriva tumorilor, au aratat o serie de experimente realizate recent pe soareci, informeaza Reuters.
Incredibil 08 Sep. 2015
O metoda revolutionara de obtinere a germaniului - un element chimic rar, putin raspandit in natura, folosit la fabricarea pieselor semiconductoare din telefoanele inteligente - cu ajutorul plantelor, a fost inventata de savantii germani, informeaza Reuters.
Incredibil 09 Sep. 2015
Un nou test sangvin este capabil sa calculeze ritmul in care imbatraneste organismul si, implicit, riscul de aparitie a dementei, potrivit unui studiu realizat recent in Marea Britanie, informeaza dailymail.co.uk.
Un nou tip de virus urias, datand din preistorie, a fost descoperit recent in permafrostul din Siberia, informeaza site-ul lexpress.fr.
Incredibil 11 Sep. 2015
China vrea sa lanseze inainte de anul 2020 o sonda spatiala care va avea misiunea de a se plasa in conditii de siguranta pe fata nevazuta a Lunii, a dezvaluit, joi, un inginer de la Academia de Stiinte din China, citat de bbc.com.
Maladia Alzheimer ar putea fi transmisa, in anumite cazuri exceptionale, prin intermediul sangelui, la fel ca boala Creutzfeldt-Jacob, au anuntat oamenii de stiinta din Marea Britanie, citati de site-ul topsante.com.
Incredibil 12 Sep. 2015
Cateva medicamente uzuale ofera o noua raza de speranta femeilor diagnosticate cu "gena cancerului mamar", aceeasi cu care a fost depistata si actrita Angelina Jolie, deoarece sunt capabile sa reduca semnificativ riscul de aparitie a acestei boli, informeaza dailymail.co.uk.
Incredibil 13 Sep. 2015
Stiinta medicala a avansat intr-un mod spectaculos, in special in ultima jumatate a secolului XX. Iata cateva inovatii care pot avea capacitatea de a ne transforma in super-oameni.
Incredibil 14 Sep. 2015
Un ingredient cheie folosit in chimioterapie, care se gaseste in mod natural intr-o planta ce creste in Himalaya, poate fi obtinut cu ajutorul tutunului, potrivit unui studiu realizat de cercetatorii de la Universitatea Standford din California, SUA, informeaza dailymail.co.uk.
Incredibil 16 Sep. 2015
Agentia spatiala americana a trecut prin momente stanjenitoare in urma cu cateva zile, dupa ce a confundat Luna cu Soarele, intr-un mesaj publicat pe contul ei de Twitter, care este urmarit de 1,2 milioane de utilizatori, informeaza dailymail.co.uk.
Incredibil 17 Sep. 2015
Populatiile de mamifere marine, pasari, pesti si reptile au scazut cu 49% fata de anul 1970, se afirma intr-un raport oficial, intocmit de expertii de la World Wildlife Fund (WWF) si Zoological Society din Londra, informeaza bbc.com.
Incredibil 18 Sep. 2015
Astronomii de la Universitatea Leeds din Marea Britanie au reusit pentru prima data in istorie sa observe regiuni interne ale unui sistem planetar aflat in plin proces de formare, potrivit maxisciences.com.
O pelerina a invizibilitatii ar putea deveni realitate, in curand, afirma cercetatorii din Statele Unite care au realizat un astfel de dispozitiv, folosind elemente microscopice din aur, ce este capabil sa reflecte lumina in jurul unui obiect tridimensional, informeaza Reuters.
Incredibil 20 Sep. 2015
Cercetatorii britanici au adresat autoritatilor din tara lor o cerere oficiala in care au solicitat permisiunea de a edita gene ale unor embrioni umani, intr-o serie de experimente, ce vor fi realizate cu scopul de a obtine informatii vitale despre primele stadii de dezvoltare a organismului uman.
Incredibil 21 Sep. 2015
Protectorii elefantilor apeleaza la tehnologii avansate pentru a preveni extinctia acestor vietuitoare, in contextul in care braconierii folosesc tot mai mult diverse dispozitive moderne pentru a vana pahiderme in Africa, se afirma intr-un articol publicat pe site-ul fr.news.yahoo.com.
Incredibil 22 Sep. 2015
O treime dintre persoanele nascute in Marea Britanie in anul 2015 vor suferi de dementa, potrivit unui studiu recent, comandat de asociatia de caritate Alzheimer's Research, informeaza Reuters.
O bacterie care are varsta de 3,5 milioane de ani, descoperita in permafrostul din Siberia, ar putea fi utilizata pentru a creste longevitatea oamenilor si pentru a stimula sistemul imunitar, informeaza dailymail.co.uk.
Oamenii de stiinta japonezi au anuntat ca s-au apropiat foarte mult de momentul in care vor obtine in laborator rinichi complet functionali, dupa ce primele teste realizate pe animale au furnizat rezultate promitatoare, informeaza bbc.com.
Incredibil 25 Sep. 2015
O coliziune intre doua gauri negre care graviteaza una in jurul celeilalte, in centrul unei galaxii aflate la o distanta de 3,5 miliarde de ani-lumina de Terra, va putea fi observata in premiera de oamenii de stiinta, informeaza lexpress.fr.
Incredibil 26 Sep. 2015
De-a lungul timpului au aparut diverse teorii cu privire la venirea sfarsitului lumii: incalzirea globala, suprapopularea, super-vulcani care ar putea erupe sau hiper-taifunuri care s-ar putea forma. Toate acestea, ar putea fi, intr-un fel sau altul, posibile avand in vedere o portretizare realista a modului in care Globul si-ar putea gasi sfarsitul. Insa, exista si cateva teorii absurde cu privire la declansarea Apocalipsei. Iata cateva dintre acestea.
Incredibil 27 Sep. 2015
Pana acum stiinta nu a reusit sa patrunda toate misterele lumii biologice, iar pentru a descoperi toate secretele pe care acesta fascinanta lume le ascunde mai este un drum lung de parcurs. Iata cateva mistere biologice pe care planeta le are de oferit, dar pe care cercetatorii nu le-au putut explica inca.
Incredibil 28 Sep. 2015
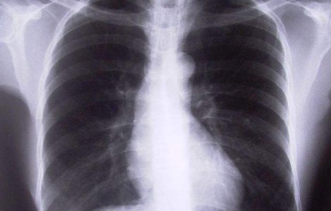
Misterul din spatele faptului ca anumite persoane par sa aiba plamani sanatosi la varsta a treia, in ciuda faptului ca au fumat aproape intreaga lor viata adulta, a fost descifrat de cercetatorii din Marea Britanie, informeaza bbc.com.
Incredibil 29 Sep. 2015
Forta naturii si formatiunile create prin maiestria acesteia nu inceteaza sa uimeasca. Apa, temperaturile, rocile, vantul, mineralele, presiunea, lucreaza impreuna pentru a da nastere unor creatii geologice uimitoare. Iata cateva dintre acestea.
NASA a anuntat, luni seara, ca au fost descoperite dovezi spectrale ale prezentei sarurilor hidratate pe Marte, precizand insa ca nu au fost gasite probe directe ale prezentei apei in stare lichida pe planeta rosie.
Incredibil 30 Sep. 2015
Cercetatorii britanici au inceput cu bine un experiment cu celule susa, considerat inovator, cu speranta de a dezvolta ulterior un tratament eficient impotriva unei boli care cauzeaza orbire, informeaza Reuters.
Cateva mii de persoane au stat la cozi impresionante in fata Gradinii Botanice din Chicago, in noaptea de marti spre miercuri, pentru a admira floarea unei plante tropicale uriase, care poate sa atinga o inaltime de peste 1,4 metri, are forma unui falus si emite un miros de cadavru in putrefactie.
Foloseste formularul de mai jos