Horoscop 04:00
Recomandari ieri
Nu ai cont? Aboneaza-te
Yuppy 26 Nov. 2014
Aflat in sud-estul Islandei, canionul Fjaorargljufur este considerat unul din cele mai frumoase canioane din lume. Strabatut de raul Fjaora, canionul se intinde
Iata ce ar trebui sa eviti sa cumperi de Black Friday.
Incredibil 26 Nov. 2014
Chiar daca anumite studii sugereaza ca eventuala insuficienta a vitaminei D ar putea avea consecinte nefaste asupra sanatatii, un comitet de experti din Statele Unite a refuzat sa recomande lansarea pe piata a unui test universal de depistare a carentei de vitamina D.
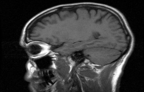
Creierul are o regiune care este responsabila de instalarea schizofreniei si a maladiei Alzheimer,
LifeStar 26 Nov. 2014
Primul documentar despre viata lui Kurt Cobain realizat cu ajutorul familiei artistului va fi lansat in 2015 de televiziunea HBO.
Celebra cantareata si actrita libaneza Sabah, considerata o veritabila legenda in lumea araba, a murit miercuri la varsta de 87 de ani.
Trupa Vama va sustine un concert acustic pe 8 decembrie, in clubul Hard Rock Cafe din Bucuresti.
Cantaretul american Bob Dylan si trupa sa de instrumentisti au sustinut, duminica, un concert la care a asistat un singur spectator, Fredrik Wikingsson.
Cantareata Jennifer Lopez a demarat o colaborare cu designerii companiei Endless Jewelry pentru a crea o colectie personalizata de bratari si mici pandantive.
Sport 26 Nov. 2014
Directorul general al clubului de fotbal Petrolul Ploiesti, Marius Bucuroiu, fratii Daniel si Nicolae Capra, toti trei actionari ai clubului, si alte patru persoane au fost retinuti, marti seara, de catre procurorii DIICOT in dosarul privind infractiuni cu un prejudiciu de peste 15 milioane de euro.
Indemnizatiile lunare ale sportivilor care fac parte din loturile olimpice au fost majorate de la 900 lei la 1.500 lei, a anuntat, miercuri, purtatorul de cuvant al Executivului, Corneliu Calota.
Academia de Tenis din complexul sportiv bucurestean "Lia Manoliu", care are sase terenuri cu nocturna si gradene ce asigura 1.152 de locuri, a fost deschisa miercuri.
International 26 Nov. 2014
Alegerile parlamentare din Republica Moldova, care vor avea loc duminica, ar putea aduce la putere o coalitie intre partidele proeuropene si comunisti.
Comandantul-sef al NATO, generalul american Philip Breedlove, s-a declarat foarte ingrijorat de instalarea unor rachete rusesti in Crimeea, care reprezinta o amenintare pentru toata regiunea Marii Negre.
O serie limitata de ceasuri care contin fragmente din ADN-ul lui Napoleon, extrase din fire de par ale imparatului francez va fi produsa de compania elvetiana DeWitt.
Agentia de presa rusa Tass anunta ca aviatia militara rusa a trimis 14 avioane de vanatoare in Crimeea.
Dupa ce trenul de aterizare al unui avion a inghetat din cauza temperaturilor scazute inregistrate pe aeroportul din orasul Igarka, situat in Siberia, mai multi pasageri rusi au fost nevoiti sa-l impinga pentru a putea decola.
Cel putin 63 de persoane, majoritatea civili, au murit, marti, in raiduri efectuate de armata siriana asupra orasului Raqa, fieful grupului terorist Stat Islamic.
Un Comandament Arctic de aparare care va avea sediul la o baza navala a Flotei Nordului va fi infiintat de Rusia si va deveni operational la 1 decembrie.
Un exemplar foarte rar din "First Folio", prima colectie cu piese de teatru scrise de William Shakespeare, publicata in 1623, a fost descoperit in Franta
Politistul american care a ucis la inceputul lui august un tanar de culoare la Ferguson ca are constiinta curata si ca ar fi actionat la fel in cazul unui tanar alb.
Armata Statelor Unite va mentine in 2015 in Afganistan un contingent mai numeros decat s-a prevazut initial.
Papa Francisc a avertizat Europa cu privire la "tensiunile care nu inceteaza", pe un continent care "revine cu usurinta la tentatiile de altadata".
Social 26 Nov. 2014
Traficantii de persoane folosesc Facebook si alte retele de socializare pentru a "inrobi" si a monitoriza femeile pe care le forteaza sa se prostitueze.
Managerul Institutului "Matei Bals", Adrian Streinu Cercel a declarat ca peste 12.700 de persoane cu HIV/SIDA erau inregistrate la 30 septembrie, dintre care 524 sunt cazuri noi, fiind estimata o crestere a infectiilor, in special in randul celor care isi administreaza droguri intravenoase.
Anumite specii de animale sunt considerate cele mai inteligente din lume, deoarece animalele poseda creiere ce au caracteristici asemanatoare celor umane
Iata cativa pasi simpli prin care puteti sa scapati de raceala in 24 de ore, potrivit unei metode gasite de profesorul Ron Eccles, de la Universitatea Cardiff.
Deputatul UDMR Marko Attila Gabor a fost condamnat definitiv, miercuri, la trei ani de inchisoare cu suspendare in procesul in care este judecat pentru abuz in serviciu intr-un dosar privind restituirea unor imobile, dupa ce initial fusese condamnat la aceeasi pedeapsa, dar cu executare.
Peste jumatate din totalul fermierilor romani, lucreaza si acum pamantul cu sapa, Romania fiind tara din UE cu cea mai mica rata de mecanizare in agricultura.
Seful DNA, Codruta Kovesi, a declarat miercuri ca numarul sesizarilor primite de la cetateni a crescut in 2014 cu aproximativ 63% fata de anii anteriori, in zece luni fiind inregistrate peste 4.500 de dosare, din care aproximativ 40% deschise ca urmare denunturilor facute de persoane sau firme.
Mircea Basescu, judecat in dosarul privind mita pe care ar fi primit-o de la familia lui Bercea Mondial, va fi judecat in arest la domiciliu.
Un brad cu varsta de 140 de ani si inalt de 25 de metri a fost instalat, marti, in Piata Sfatului din Brasov si va fi impodobit cu zeci de mii de beculete.
Piata neagra a tigaretelor a inregistrat in septembrie o scadere cu 1,6 puncte procentuale, la 15,4%, de la 17% in iulie, cel mai scazut nivel din 2014.
Zeci de mesteri din toate zonele tarii vin la Targul de Sfantul Nicolae de la Muzeul National al Taranului Roman din Bucuresti, in perioada 5 - 7 decembrie.
Potrivit unui proiect de Hotarare pus in dezbatere publica de Ministerul Muncii, salariul de baza minim brut pe tara va creste in doua etape in 2015, de la 900 la 975 de lei din ianuarie si la 1.050 de lei din iulie.
Aceste locuri trebuie vizitate de orice roman! 9AM.ro iti prezinta cele mai frumoase destinatii necunoscute din tara.
Valorile termice diurne vor continua sa scada usor, astfel incat vremea va fi rece , chiar deosebit de rece in regiunile extracarpatice.
Cea mai scazuta temperatura din tara, -10 grade Celsius, s-a inregistrat, miercuri dimineata, la Miercurea Ciuc si la Toplita, in judetul Harghita
Oamenii s-au nascut pentru a fi individualisti, intrucat nu doresc sa coopereze atunci cand stiu ca au de beneficiat de pe urma unei tradari.
Pentru romani, topul celor mai neinspirate cadouri de sarbatori este condus de produsele alimentare (61%) si urmate de articolele de papetarie (47%).
Politica 26 Nov. 2014
Vicepresedintele american, Joe Biden, l-a sunat pe presedintele ales al Romaniei, Klaus Iohannis, si l-a felicitat pentru victoria in alegeri, remarcand rata de participare impresionanta, un indiciu al unei democratii puternice si sanatoase, arata un comunicat al Casei Albe.
Presedintele ales al Romaniei, Klaus Iohannis, a anticipat marti ca mai multi parlamentari ar putea abandona coalitia premierului Victor Ponta in urmatoarele saptamani intr-un numar suficient de mare pentru a determina o schimbare a Guvernului anul viitor.
Presedintele ales Klaus Iohannis a declarat miercuri, la conferinta "Anti-corruption Sustainability in Romania", ca "fara o justitie independenta si functionala o natiune poate trai de zece ori un secol", dand asigurari ca va sprijini activitatea anticoruptie a DNA in mandatul sau ca sef al statului
PSD sustine "cu fermitate" ca nu are "nicio implicare in elaborarea sau sustinerea" proiectului legii gratierii colective, afirmand ca aceasta este "o initiativa personala a domnului Paun", se spune intr-o declaratie a purtatorului de cuvant al PSD, Gabriela Firea.
Business 25 Nov. 2014
In contextul actual al pietei, cand dobanda de referinta se afla la minime istorice, majoritatea bancilor din Romania ofera in medie dobanzi la depozitele in lei cu valori intre 2.5% p.a. si 3.5% p.a., in functie de maturitatea depozitului si de suma disponibila.
Business 26 Nov. 2014
CE a lansat un infringement impotriva Romaniei privind securitatea aprovizionarii cu gaze naturale deoarece Bucurestiul nu a notificat adoptarea unui plan de actiune preventiva si a unui plan de urgenta in aceasta privinta.
Banca Transilvania negociaza preluarea Volksbank Romania, pe care grupul austriac vrea sa o vanda pentru a acoperi deficitul de capital, transmite Bloomberg.
Parlamentul European dezbate miercuri o rezolutie care propune divizarea grupului Google, initiativa cu valoare mai mult simbolica.
Foloseste formularul de mai jos