Recomandari 12:06
Horoscop 04:00
Horoscop ieri
Nu ai cont? Aboneaza-te
Incredibil 08 Jul. 2015
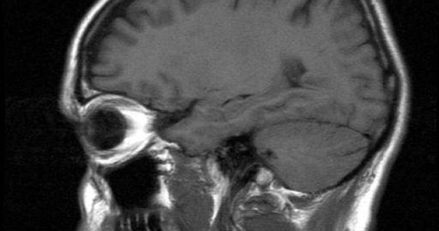
Reabilitarea neurocognitiva a unui pacient necesita masuri luate din timp, chiar din a doua zi de terapie intensiva.
Incredibil 14 Sep. 2014
Un baietel din China a devenit primul pacient din lume caruia i-a fost implantata o vertebra obtinuta cu ajutorul tehnologiei imprimarii 3D.
Social 11 Aug. 2014
Managerul Institutului "Matei Bals", Adrian Streinu-Cercel, a anuntat, duminica seara, ca "spre 99%" se infirma posibilitatea ca barbatul din Ploiesti adus la aceasta unitate sanitara sa fie infectat cu virusul Ebola.
Social 10 May. 2014
Conducerea Spitalului Municipal Dej va declansa o ancheta interna dupa ce un pacient in varsta de 67 de ani s-a aruncat de la etaj,
International 02 Feb. 2014
Zenko Hrynkiw, un neurochirurg din Statele Unite, in varsta de 62 de ani, a mers 10 kilometri pe jos, de la un spital la altul, printr-un viscol crunt, pentru a opera un pacient pe creier.
Politica 14 Jan. 2013
Europarlamentarul PDL Cristian Preda considera ca justificarea deciziei de a nu mai directiona bani de la CNAS catre spitalele private este una de tip contabil.
Social 19 Sep. 2012
Un tir a lovit o ambulanta marti dupa-amiaza, in jurul orei 13:30, in comuna Barcea, din judetul Galati
Social 29 Jun. 2012
Noului sef al CNAS, dr. Doru Badescu, a vorbit despre avantajele aduse de prescriptia eletronica.
Social 01 Jun. 2011
Pierderea cunostintei, hemoragie interna sau febra severa sunt doar cateva dintre criteriile de internare a pacientilor. Vezi lista completa a masurilor.
Social 19 Aug. 2010
Raportul medicilor legisti in cadrul anchetei de la Spitalul Judetean de Urgenta Bistrita-Nasaud scoate lucruri noi la iveala.
Social 31 May. 2010
Un barbat din Galati este primul pacient prins cu un concediu medical in neregula, dupa intrarea in vigoare a noii metodologii.
Incredibil 21 May. 2010
Implantul de pectoral, noua gaselnita pentru barbatii prea lenesi sa mearga la sala.