Business 14:00
Recomandari 10:21
Recomandari 10:02
Nu ai cont? Aboneaza-te
Social 23 Apr. 2019
Oamenii de stiinta au identificat 104 gene asociate cu un risc ridicat de schizofrenie, ceea ce sugereaza ca aceasta tulburare mintala ar putea fi detectata si tratata inainte de instalarea simptomelor, conform unui studiu citat marti de Xinhua.
LifeStar 12 Apr. 2016
Actorul Jake Lloyd, inchis dupa ce a fost fugarit de politie pe autostrada, intr-o cursa nebuna, devenit star la 10 ani pentru rolul sau din "Stars Wars - Episodul I", a fost internat la psihiatrie, potrivit 20minutes.fr.
Incredibil 05 Apr. 2016
Un nou studiu indica faptul ca persoanele cu simptome de schizofrenie se pot gadila singuri pe sine, datorita intreruperii unor procese cognitive care fac distinctia intre actiunile proprii si cele ale altor persoane, relateaza Descopera.
Incredibil 29 Jan. 2016
Oamenii de stiinta au identificat o varianta de gene specifice, care incep un proces biologic numit "taierea sinaptica", scrie Descopera.
Incredibil 12 Jul. 2015
Fumatul poate fi unul dintre factorii care contribuie la dezvoltarea psihozelor, potrivit unui nou studiu, realizat de cercetatorii britanici.
LifeStar 24 Jun. 2015
Jake Llyod, interpretul personajului Anakin Skywalker in filmul "Star Wars Episodul I - Amenintarea fantomei" (1999), sufera de schizofrenie.
Social 07 May. 2015
Faptul de a fii stangaci sau dreptaci, este strans legat de cum interactioneaza intre ele emisferele stanga si dreapta a creierului.
Incredibil 20 Mar. 2015
Un grup de cercetatori dezvolta o pilula care poate induce in mod artificial sentimente de compasiune.
Yuppy 15 Mar. 2011
Bolile mintale au fascinat foarte multi cercetatori inca de la inceputurile medicinei. Se spune despre schizofrenici ca aud voci, iar despre cei care dezvolta d
Incredibil 26 Nov. 2014
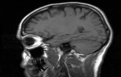
Creierul are o regiune care este responsabila de instalarea schizofreniei si a maladiei Alzheimer,
Incredibil 14 Oct. 2014
In terapia In tratamentul impotriva unor boli psihice precum schizofrenia si depresia ar putea fi folosita muzica hip-hop.
Incredibil 22 Jul. 2014
Un studiu genetic amplu a permis identificarea a peste o suta de mutatii genetice asociate cu riscul dezvoltarii schizofreniei, deschizand noi piste pentru intelegerea cauzelor acestei boli complexe si pentru tratarea acesteia.
Incredibil 01 Nov. 2013
Persoanele stangace sunt mai predispuse in a dezvolta tulburari psihotice, precum schizofrenia, si mai putin tulburari de dispozitie, precum depresia.
Incredibil 28 May. 2013
Un chinez suferind de o boala mintala este inchis intr-o cusca de 11 ani de catre propria familie, dupa ce a ucis in bataie un adolescent, a anuntat luni un cotidian chinez, care a publicat o fotografie cu acesta, aflat in spatele gratiilor.
Incredibil 06 Jul. 2012
Femeile care isi iau ca animal de companie o pisica se pot imbolnavi pe fond neurologic.
International 17 Jun. 2012
Doi experti psihiatri si-au mentinut concluzia potrivit careia autorul masacrului din Norvegia este psihotic si, prin urmare, iresponsabil penal.
International 19 Dec. 2011
Politia norvegiana, criticata pentru o presupusa reactie intarziata in cursul atacurilor de la 22 iulie, ar fi putut sosi cu 16 minute mai devreme pe Insula Utoya.
Incredibil 14 Jun. 2011
Un tanar de 22 de ani, din comuna damboviteana Motaeni, care sufera probabil de afectiuni psihice, si-a decapitat tatal.
Incredibil 21 Sep. 2010
Cercetatorii au ajuns la concluzia ca spatiile urbane aglomerate ne pot provoca schizofrenie.
Foloseste formularul de mai jos