Pentru acest studiu, autorii sai au monitorizat 102 piloti din armata aeriana americana in timp ce zburau pe avioane-spion U-2 si au comparat rezultatele cu cele provenind de la 92 de persoane care nu aveau meseria de pilot.
Pilotii au prezentat de trei ori mai multe leziuni cerebrale decat persoanele din celalalt grup.
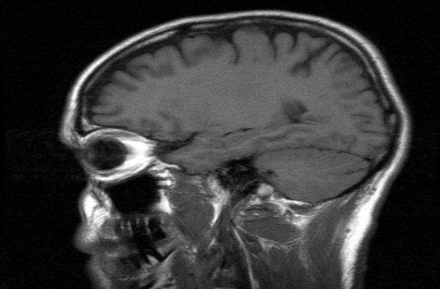
Participantii la studiu aveau varste cuprinse intre 26 de ani si 50 de ani si au fost supuse unui examen RMN (imagistica prin rezonanta magnetica) al creierului. Specialistii au masurat numarul micilor leziuni de la nivelul tesutului cerebral, asociate cu un declin al memoriei, care se produc odata cu aparitia altor maladii neurologice, scrie mediafax.
"Pilotii care zboara cu regularitate mai sus de 6.000 de metri prezinta un risc mai mare de accident de decompresie, cand presiunea atmosferica scade brusc la niveluri inferioare celor din interiorul corpului, ceea ce cauzeaza formarea de bule", a explicat coordonatorul studiului, medicul Stephen McGuire de la Universitatea Texas, unde se afla Facultatea de medicina aerospatiala din cadrul US Air Force.
"Incidenta senzatiei de rau de decompresie la pilotii din US Air Force s-a triplat din 2006, probabil din cauza zborurilor riscante, mai frecvente si mai indelungate", a precizat el. "Dar, pana in prezent, nu am constatat sechele clinice permanente sau un declin al memoriei la acesti piloti", a precizat acelasi medic militar.
Simptomele ce afecteaza creierul unei persoane care sufera de rau de decompresie constau mai ales intr-o incetinire a procesului de gandire, o stare de confuzie si pierderi permanente de memorie.
Despre autor:
Te-ar putea interesa si:
In lipsa unui acord scris din partea Internet Corp, puteti prelua maxim 500 de caractere din acest articol daca precizati sursa si daca inserati vizibil linkul articolului.
Mai multe despre
-
Ce planuri are PKO Bank în România: cea mai mare bancă din Polonia are active...
Sursa: futurebanking.ro
-
Sumă record cheltuită de utilizatorii OnlyFans în 2024. Câți bani au ajuns la...
Sursa: wall-street.ro
-
FRENVI, compania care îți pune pe masă tacâmuri sustenabile și comestibile
Sursa: green.start-up.ro
-
Românca Alina Sabău, antreprenoare în fashion de lux, va deschide un nou...
Sursa: retail.ro
-
Ideea simplă care digitalizează un domeniu blocat în timp | Cum funcționează...
Sursa: start-up.ro
-
Tragedie șocantă în showbiz. Celebrele gemene Kessler au murit mână în mână,...
Sursa: garbo.ro
-
Cum arată și cu ce se ocupă noul iubit al Deei Maxer? Meseria care îl va face...
Sursa: kudika.ro