Business 14:00
Horoscop 04:00
Business ieri
Nu ai cont? Aboneaza-te
Social 13 May. 2015
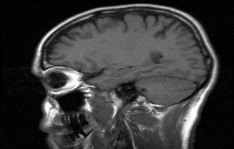
Echipa multidisciplinara care il evalueaza permanent pe Gabriel Cotabita a decis, marti, ca artistul sa faca un nou RMN cerebral, iar analiza a indicat zone cu leziuni grave, potrivit unor surse apropiate cantaretului.
LifeStar 21 Apr. 2015
Pronosticul medical al fiicei cantaretilor Whitney Houston si Bobby Brown, Bobbi Kristina Brown, aflata in coma, este incert.
Incredibil 13 Dec. 2013
Muzica pop poate ajuta pacientii cu leziuni cerebrale severe sa isi recupereze amintirile, se arata intr-un studiu efectuat in premiera de doua cercetatoare din Australia si Franta, informeaza dailymail.co.uk.
Incredibil 21 Aug. 2013
Pilotii care zboara adeseori la altitudini mari prezinta un risc crescut de leziuni cerebrale, afirma autorii unui studiu publicat luni in revista americana Neurology.
Foloseste formularul de mai jos