Business 14:00
Horoscop 04:00
Business ieri
Nu ai cont? Aboneaza-te
Sport 04 Oct. 2011
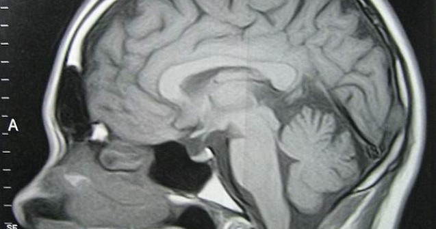
Fostul dinamovist Cosmin Pascovici, a aflat, in 2006, ca fiul sau are o tumoare la creier. Desi copilul s-a vindecat, tratamentul costa 4000 de lei, lunar.
Sport 21 Sep. 2006
Soc. Denis Mircea Mihail, care ieri a implinit 2 ani, a fost operat de tumora la creier la Spitalul Bagdasar-Arseni, jucatorul pierzand derby-ul cu Steaua
Sport 14 Jul. 2006
Dinamo s-a impus lejer in fata celor de la Hibernians. Maltezii nu au reusit sa le puna nici un fel de probleme ciinilor, pe toata durata partidei acestia reusind sa-i dea batai de cap lui Moss doar o singura data. Introdus la pauza, Ganea a rezolvat meciul, in urma a doua pase de gol. Au punctat Danciulescu, Radu si Niculescu, de doua ori
Sport 30 Aug. 2005
Echipa nationala a Romaniei si-a strans ieri randurile, in speranta ca va reusi sa invinga reprezentativa Cehiei la doua goluri diferenta, pastrand astfel sanse cel putin teoretice de calificare la Campionatul Mondial de anul viitor din Germania.
Foloseste formularul de mai jos