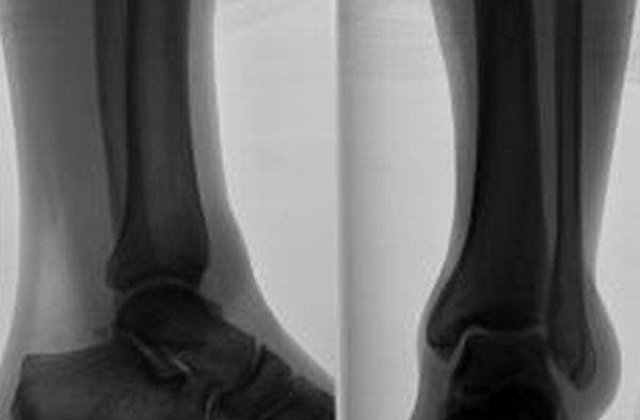
Specialistii companiei islandeze Ossur au implantat o serie de senzori minusculi in tesuturile musculare reziduale ale doi pacienti amputati, pentru a stimula miscarea protezelor acestora prin intermediul unui microreceptor, informeaza Reuters. CEO-ul companiei islandeze, Jon Sigurdsson, a anuntat, miercuri, la Copenhaga, ca acei doi pacienti au devenit primele persoane din lume care sunt capabile sa isi controleze miscarile protezelor in mod subconstient, scrie MEDIAFAX.
Unul dintre pacientii care au participat la testarea acestor implanturi noi, Gummi Olafsson, si-a pierdut partea inferioara a piciorului drept in urma unui accident de automobil suferit in copilarie. El spune ca noile implanturi ii permit sa isi controleze piciorul bionic aproape instantaneu. Semnalele trimise de la creierul sau catre terminatiile nervoase de la nivelul muschilor care determina miscarea au continuat chiar si atunci cand Gummi Olafsson a folosit proteze diferite, care nu erau inzestrate cu microreceptoare. Senzorii Mioelectrici Implantati (Implanted Myoelectric Sensors/ IMES) au o lungime de 5 milimetri si o latime de 3 milimetri si au fost fabricati de Fundatia Alfred Mann din Statele Unite ale Americii, care dezvolta diverse tehnologii medicale.
Despre autor:
Te-ar putea interesa si:
In lipsa unui acord scris din partea Internet Corp, puteti prelua maxim 500 de caractere din acest articol daca precizati sursa si daca inserati vizibil linkul articolului.
-
Ce planuri are PKO Bank în România: cea mai mare bancă din Polonia are active...
Sursa: futurebanking.ro
-
Sumă record cheltuită de utilizatorii OnlyFans în 2024. Câți bani au ajuns la...
Sursa: wall-street.ro
-
FRENVI, compania care îți pune pe masă tacâmuri sustenabile și comestibile
Sursa: green.start-up.ro
-
Adrian și Vlad Iliescu, Atelierele Ilbah: ”din nemulțumire se naște evoluția...
Sursa: start-up.ro
-
Un brand britanic de fish and chips intră pe piața din România. Cine este...
Sursa: retail.ro
-
Etalare Tarot Luna Plină în Rac din 3 ianuarie 2026: ce adevăr emoțional iese...
Sursa: garbo.ro
-
Rugăciunea Sfântului Ioan Botezătorul: Cuvintele sfinte care rup lanțurile...
Sursa: kudika.ro