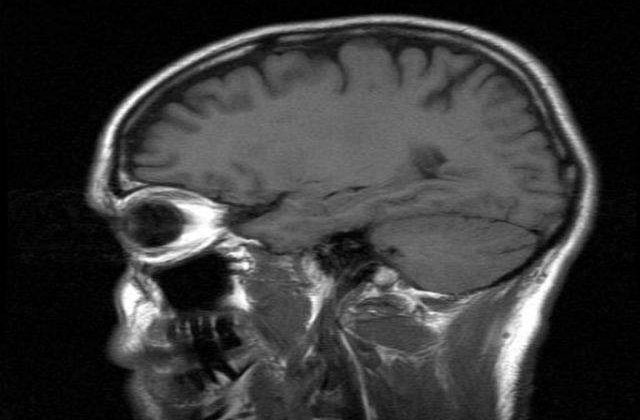
"Dintre cei sapte pacienti, patru au fost deja operati si pot trai acum o viata fara crize epileptice. Acest lucru e posibil datorita faptului ca datele culese cu ocazia implantarii permit localizarea cu precizie matematica a zonei de generare a crizelor. Ca urmare, portiunea din creier extrasa chirurgical este de mici dimensiuni, fara afectarea altor functii cerebrale", arata Asociatia Pacientilor cu Epilepsie din Romania (ASPERO), potrivit mediafax.
Aceasta metoda este utilizata cu rezultate remarcabile in centrele de chirurgie a epilepsiei din Europa si Statele Unite, dand sansa la o viata fara crize pacientilor cu epilepsii rezistente la tratamentul medicamentos.
Costul in strainatate al unei astfel de explorari si operatii este intre 50.000 si 100.000 de euro, in vreme ce in Romania se poate ajunge la maximum 10.000 de euro, suportati in acest moment de Programul National pentru Tratamentul Epilepsiei Farmacorezistente.
In Romania, acest tip de explorare a fost initiata in cadrul unui proiect de cercetare multidisciplinar, desfasurat prin Universitatea Bucuresti, Facultatea de Fizica, in colaborare cu echipele de medici din Centrul de Exploare a Epilepsiei din Sectia de Neurologie a Spitalului Universitar si sectia de Neurochirurgie Functionala din Spitalul "Bagdasar Arseni".
"Succesul metodei este datorat unei munci de planificare neurochirurgicala foarte minutioasa. Folosim software si algoritmi moderni de neuronavigatie, care permit pozitionarea corecta a electrozilor si evitarea vaselor de sange. In acest fel, electrozii exploreaza focarul epileptic itr-o maniera tridimensionala oferind date extrem de precise", spune directorul proiectului de cercetare, profesorul Andrei Barborica.
Despre autor:
Te-ar putea interesa si:
In lipsa unui acord scris din partea Internet Corp, puteti prelua maxim 500 de caractere din acest articol daca precizati sursa si daca inserati vizibil linkul articolului.
-
Ce planuri are PKO Bank în România: cea mai mare bancă din Polonia are active...
Sursa: futurebanking.ro
-
Sumă record cheltuită de utilizatorii OnlyFans în 2024. Câți bani au ajuns la...
Sursa: wall-street.ro
-
Un brand britanic de fish and chips intră pe piața din România. Cine este...
Sursa: retail.ro
-
Test Drive Renault Clio 6 E-Tech: sustenabil și economic, dar și două neajunsuri
Sursa: green.start-up.ro
-
România în raportul How to Web: Eficiență slabă a capitalului și o scădere...
Sursa: start-up.ro
-
3 zodii pentru care lucrurile se aliniază în mod divin în viețile lor odată...
Sursa: garbo.ro
-
Psihologii dezvăluie frazele preferate ale oamenilor falși. 11 replici care...
Sursa: kudika.ro