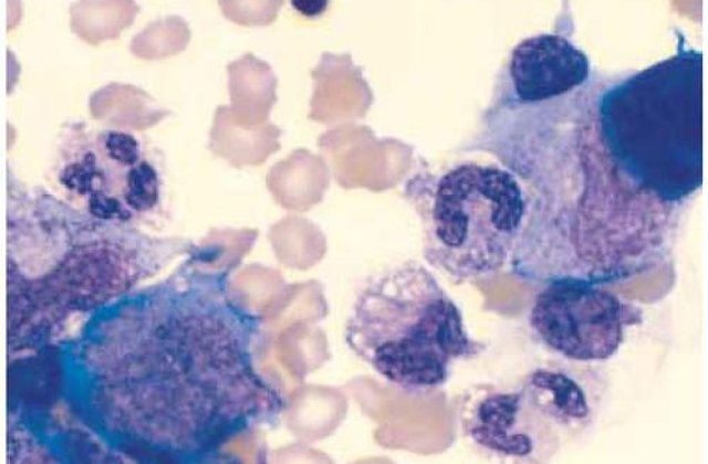
Potrivit cercetatorilor, sistemul imunitar supravegheaza celulele canceroase si le protejeaza, inca din momentul aparitiei lor, asa cum procedeaza si cu restul celulelor din organism.
Cercetatorii au demonstrat prin teste pe cobai faptul ca aparitia tuturor celulelor canceroase declanseaza imediat un raspuns al anumitor celule imunitare, numite limfocite T regulatoare. Acestea din urma merg rapid spre tumoare si recunosc celulele daunatoare, blocheza actiunea altor limfocite, impiedicandu-le astfel sa distruga celulele canceroase.
Realizatorii studiului au concluzionat ca, pe viitor, controlul limfocitelor T regulatoare ar trebui sa fie o componenta esentiala in dezvoltarea viitoarelor terapii impotriva cancerului.
Despre autor:
Te-ar putea interesa si:
In lipsa unui acord scris din partea Internet Corp, puteti prelua maxim 500 de caractere din acest articol daca precizati sursa si daca inserati vizibil linkul articolului.
-
Ce planuri are PKO Bank în România: cea mai mare bancă din Polonia are active...
Sursa: futurebanking.ro
-
Sumă record cheltuită de utilizatorii OnlyFans în 2024. Câți bani au ajuns la...
Sursa: wall-street.ro
-
Un brand britanic de fish and chips intră pe piața din România. Cine este...
Sursa: retail.ro
-
Test Drive Renault Clio 6 E-Tech: sustenabil și economic, dar și două neajunsuri
Sursa: green.start-up.ro
-
România în raportul How to Web: Eficiență slabă a capitalului și o scădere...
Sursa: start-up.ro
-
Clătite de post: rețeta românească simplă, subțire și elastică, cu umpluturi...
Sursa: garbo.ro
-
Clotilde Armand îi atacă dur pe Victor Ponta și Daciana Sârbu: Copilul vostru...
Sursa: kudika.ro