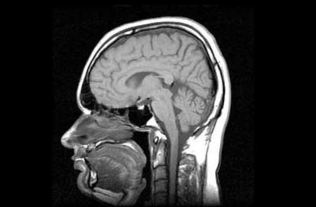
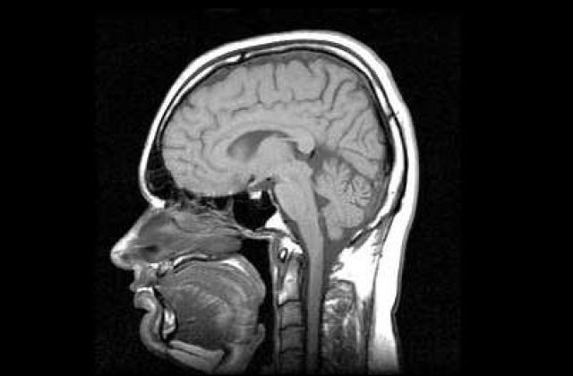
Un experiment stiintific realizat de un grup de cercetatori din cadrul Universitatii de la Tel Aviv au introdus cipuri electronice in locul unor zone “defecte”ale unor creiere functionale de cobai.
Cercetatorii au reusit sa creeze circuite care pot inlocui functii precum clipitul si sa le implanteze in creierele sobolanilor de laborator, potrivit dailymail.
Echipa din cadrul universitatii islaeliene considera ca studiilor si dezvoltarea proiectului va duce la ajutarea persoanelor care sufera de malformatii ale creierului, cum ar fi cele determinate de boala Parkinson, prin inlocuirea tesutului deteriorat cu cipuri electronice care sa indeplineasca functia respectiva.
Despre autor:
Te-ar putea interesa si:
In lipsa unui acord scris din partea Internet Corp, puteti prelua maxim 500 de caractere din acest articol daca precizati sursa si daca inserati vizibil linkul articolului.
Mai multe despre
-
Ce planuri are PKO Bank în România: cea mai mare bancă din Polonia are active...
Sursa: futurebanking.ro
-
Sumă record cheltuită de utilizatorii OnlyFans în 2024. Câți bani au ajuns la...
Sursa: wall-street.ro
-
Un brand britanic de fish and chips intră pe piața din România. Cine este...
Sursa: retail.ro
-
Test Drive Renault Clio 6 E-Tech: sustenabil și economic, dar și două neajunsuri
Sursa: green.start-up.ro
-
România în raportul How to Web: Eficiență slabă a capitalului și o scădere...
Sursa: start-up.ro
-
Clătite de post: rețeta românească simplă, subțire și elastică, cu umpluturi...
Sursa: garbo.ro
-
Clotilde Armand îi atacă dur pe Victor Ponta și Daciana Sârbu: Copilul vostru...
Sursa: kudika.ro