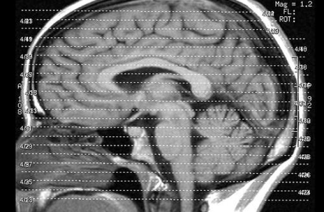
Memoria selectiva chiar exista, iar oamenii isi pot antrena creierul pentru a sterge amintirile jenante, spun oamenii de stiinta.
Reprimarea indelungata a amintirilor rele poate duce la stergerea lor complete, sustin cercetatorii. Acestia au folosit scanari EEG pentru a monitoriza partile din creier care se activeaza atunci cand cineva incearca sa uite ceva. – Acestia au putut spune chiar si momentul in care amintirea este uitata si sustin ca reprimarea indelungata este la un pas distant de stergerea complete.
Echipa de cercetatori de la Universitatea Lund din Suedia sustine ca tehnica poate fi folositoare oamenilor care sufera de depresie si stres prost-traumatic, atunci cand se lovesc mereu de amintirea anumitor incidente.
Despre autor:
Te-ar putea interesa si:
In lipsa unui acord scris din partea Internet Corp, puteti prelua maxim 500 de caractere din acest articol daca precizati sursa si daca inserati vizibil linkul articolului.
-
Ce planuri are PKO Bank în România: cea mai mare bancă din Polonia are active...
Sursa: futurebanking.ro
-
Sumă record cheltuită de utilizatorii OnlyFans în 2024. Câți bani au ajuns la...
Sursa: wall-street.ro
-
Un brand britanic de fish and chips intră pe piața din România. Cine este...
Sursa: retail.ro
-
Test Drive Renault Clio 6 E-Tech: sustenabil și economic, dar și două neajunsuri
Sursa: green.start-up.ro
-
România în raportul How to Web: Eficiență slabă a capitalului și o scădere...
Sursa: start-up.ro
-
Este sau nu Corina Caragea căsătorită? Adevărul despre bărbatul din viața ei
Sursa: kudika.ro
-
Balonare după masă și disconfort abdominal? Greșeli comune, posibile cauze și...
Sursa: garbo.ro