Vasili Simonov, un cetatean rus din oraselul Togliati, a trait fara sa stie cu un glonte in plaman timp de 68 ani. La un examen de specialitate, cadrele medicale au fost socate sa descopere in plamanul batranului un glonte ramas acolo din timpul celui de al doilea Razboi Mondial.
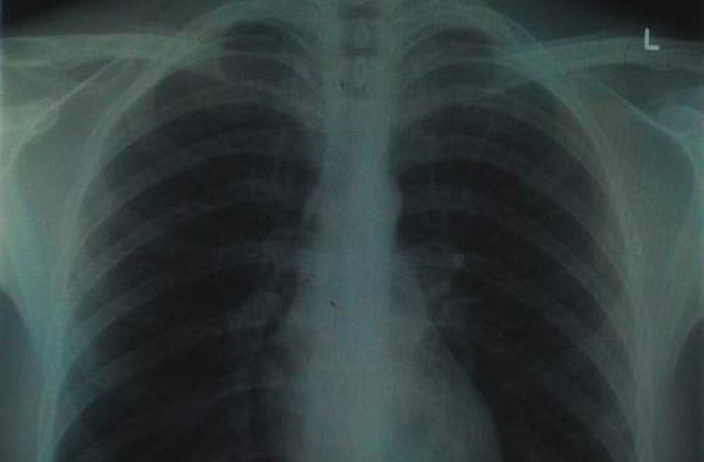
Vasili, acum in varsta de 80 ani, a fost socat dupa ce a efectuat un test de rutina care a inclus o fotofluorografie. Potrivit Descopera, medicul i-a spus ca a descoperit in plamanul sau drept o pata care ar putea fi un semn de tumoare canceroasa. Pacientul a fost trimis de urgenta la un centru oncologic unde a fost supus unor teste MRI. Medicul care i-a analizat ore in sir radiografiile l-a intrebat stupefiat daca a fost ranit in razboi. Vasili a replicat glumind ca era un copil in acea perioada. Medicul i-a spus foarte serios ca ceea ce parea la prima vedere o tumoare, nu era altceva decat un glonte. Trei zile mai tarziu batranul si-a reamintit o patanie din copilarie: "Cand eram mic obisnuiam sa ma joc cu cartuse de pusca. Eram in anul 1941. Un copil din vecini a gasit pe strada un cartus de calibru mic. Nu stiu cum am ajuns sa mi-l var singur in nas. Orice incercare de a-l scoate a fost sortita esecului. Intr-un final l-am aspirat cu putere in mine. Nu am simtit nicio durere sau jena, si mai tarziu am uitat cu totul de el", declara Simonov, citat de Pravda.

Glontele nu l-a deranjat timp de 68 de ani, interval in care Vasili a facut armata s-a insurat, a crescut 4 copii si s-a pensionat linistit. In prezent, are o sanatate de invidiat pentru varsta sa, nu bea si nici nu fumeaza.



Despre autor:


Abonează-te pe

Te-ar putea interesa si:

In lipsa unui acord scris din partea Internet Corp, puteti prelua maxim 500 de caractere din acest articol daca precizati sursa si daca inserati vizibil linkul articolului.