Horoscop 04:00
Recomandari ieri
Entertainment ieri
Nu ai cont? Aboneaza-te
Incredibil 01 Jul. 2014
Te-ai gandit vreodata cate tipuri de miros poate sa deosebeasca un om? 9AM.ro va prezinta 10 curiozitati despre activitatile tale zilnice.
Incredibil 02 Jul. 2014
Analistii americani de la Thomson Reuters au publicat un raport in care vorbesc despre cum va arata lumea peste 11 ani. Studiul intitulat “ Property and Sciente business ” a fost facut pe baza actualelor date globale, potrivit dailymail.co.uk .
Delta Dunarii este una dintre cele mai populare destinatii de vacanta din Romania. 9AM.ro va prezinta zece lucruri mai putin cunoscute despre acest colt de rai din tara noastra.
NASA a lansat, miercuri dimineata, primul sau satelit care va masura nivelul de dioxid de carbon (CO2) din atmosfera, acesta fiind principalul gaz cu efect de sera care contribuie la incalzirea climatica.
Incredibil 03 Jul. 2014
Aceasta iluzie optica se numeste perspectiva inversa si a fost creata de Benjamin Dalsgaard Hughes, un specialist in acest domeniu.
Li Hongbo, un artist din Beijing , a expus intr-un muzeu din Miami cateva sculpturi exceptionale facute din hartie stratificata.
Copilaria e o lume de poveste, e ca o tara a viselor si a muzicii in care totul este nemuritor. Jocul si joaca sunt elemente caracteristice copilariei, ele ii dau farmec, reprezentand o modalitate prin care copiii pot descoperi lumea inconjuratoare. 9AM.ro va prezinta o colectie cu poze care surprind jocul in diverse colturi ale lumii.
Stresul poate fi transmis de la o persoana la alta, la fel ca o forma de raceala, au descoperit cercetatorii americani, care au observat ca acesta poate fi "luat" de la cei din jur, ca o afectiune contagioasa, informeaza dailymail.co.uk.
O tehnica de reconstructie a corneei umane cu ajutorul celulelor susa a fost pusa la punct de cercetatorii americani, iar descoperirea este utila pentru victimele care si-au pierdut vederea din cauza arsurilor sau a unor substante chimice.
Specialistii americani au reusit sa recreeze in laborator virusul H1N1, un agent viral capabil sa insele sistemul imunitar uman, iar medicii spun ca acesta este un pas inainte in conceperea unor vaccinuri mai eficace contra gripei sezoniere si a tulpinilor potential periculoase.
Incredibil 04 Jul. 2014
Headbanging-ul, genul de dans care consta in miscari violente ale capului sincronizate cu muzica rock/ heavy metal, poate fi periculos pentru sanatate, provocand hematoame, potrivit unui studiu publicat vineri in revista The Lance.
Incredibil 06 Jul. 2014
Pentru a alfa daca toate lacrimile sunt la fel (cele de bucurie, de tristete, de emotie) Rose-Lynn Fisher, o specialista in tehnica fotografica, a facut un experiment si a pus la microscop 100 de lacrimi diferite rezultate din mai multe stari sufletesti. Rezultatele sunt spectaculoase.
Dupa ani lungi de studii si experimente, oamenii de stiinta au gasit cele mai longevive animale de pe Terra. Iata care sunt acestea:
Incredibil 07 Jul. 2014
Substantele psihedelice din ciupercile magice produc o activitate cerebrala asemanatoare cu aceea din timpul viselor, au descoperit oamenii de stiinta, care au studiat creierul uman in timpul "calatoriilor" mentale induse de acestea.
Fiecare dintre noi cauta aventura in fiecare zi pe care o traieste. 9AM.ro va prezinta o lista cu lucruri pe care trebuie sa le faci macar o data in viata pentru a alunga monotonia.
O noua metoda de identificare a embrionilor in uter ar putea creste cu pana la 50% sansele de reusita a fertilizarii in vitro, au afirmat cercetatorii din Marea Britanie, informeaza dailymail.co.uk.
O noua specie de nevertebrate microscopice extrem de rezistente, care pot sa supravietuiasca in conditii foarte vitrege, inclusiv in spatiu, a fost descoperita in Antarctica, informeaza dailymail.co.uk.
Un dispozitiv contraceptiv revolutionar, implantat sub piele, care contine o rezerva de substante anticonceptionale cu eliberare lenta pentru 16 ani, a fost pus la punct de o companie din Statele Unite si va fi disponibil pe piata pana in 2018.
Satelitii care monitorizeaza variatiile campului gravitational de la suprafata Terrei ar putea sa semnaleze riscul de producere a unor inundatii cu cateva luni in avans, au anuntat autorii unui studiu ce a fost publicat duminica.
Incredibil 08 Jul. 2014
V-ati intrebat vreodata unde a aparut prima bancnota din istorie? Sau care este povestea acestor "hartii" care au ajuns sa conduca lumea? 9AM.ro va prezinta 10 lucruri interesante despre bani, dar pe care foarte putini le cunosc.
Berea, bogata in vitamine si minerale, este benefica pentru sanatate, iar cercetatorii au constatat, printre altele, ca previne maladia Alzheimer, regleaza echilibrul hormonal si este un excelent balsam pentru par, conform dailymail.co.uk.
Oasele fosilizate din aripa unei pasari cu o anvergura de peste 6,4 metri, descoperite in statul american Carolina de Sud, apartin celei mai mari pasari marine din istoria Terrei, potrivit unui studiu care a fost publicat luni.
Cercetatorii britanici au identificat un set de 10 proteine prezente in sange care prezic declansarea maladiei Alzheimer si spera sa obtina astfel in viitorul apropiat un nou test sangvin capabil sa anticipeze aceasta boala cerebrala incurabila, informeaza Reuters.
Barbatii incep sa devina invizibili din punct de vedere sexual pentru femeile mai tinere de la varsta de 39 de ani, moment din care incep sa fie perceputi mai curand ca figuri paterne decat ca sex-simboluri,
Cele mai vechi desene gay din istorie, datand din urma cu circa doua milenii si jumatate, ce prezinta falusuri uriase si inscriptii sculptate in stanci, au fost descoperite pe o insula din Grecia, informeaza dailymail.co.uk.
Incredibil 09 Jul. 2014
Mecanismul de raspandire a cancerului in organism a fost descoperit recent in cadrul unui studiu coordonat de cercetatorii de la Kings College London, care spera sa obtina in curand o serie de noi tratamente de stopare a evolutiei acestei boli.
Stiai ca Napoleon nu era atat de scund pe cat credeai? Sau ca pestisorii aurii nu sunt atat de uituci? 9AM.ro iti prezinta zece lucruri pe care le credeai a fi adevarate, dar nu sunt.
9AM.ro va prezinta cateva curiozitati despre cel mai sensibil simt al omului.
Incredibil 10 Jul. 2014
O pastila cu administrare zilnica ar putea fi prescrisa persoanelor care consuma cantitati mari de bauturi alcoolice cu scopul de a le ajuta pe acestea sa isi invinga dependenta de alcool, au anuntat cercetatorii din Marea Britanie.
Merele, cunoscute pentru continutul bogat in vitamine, stimuleaza apetitul sexual al femeilor, au constatat cercetatorii italieni, care au observat o legatura intre intensificarea functiei sexuale si consumul zilnic de mere.
Incredibil 11 Jul. 2014
Persoanele cinice si agresive fata de oamenii din jur prezinta un risc de doua ori mai mare de a suferi accidente vasculare cerebrale (AVC) la o varsta mijlocie sau la varsta a treia, potrivit unui studiu publicat joi in revista Stroke, editata de American Heart Association.
Incredibil 12 Jul. 2014
In cazul in care nu prindeti nicio zi de plaja in acest weekend, 9AM.ro va prezinta o colectie de fotografii cu animale care se bucura de o zi frumoasa la mare, pentru a va inveseli. Vizionare placuta!
Cea mai veche piesa muzicala din lume, gravata in urma cu aproximativ 3.400 de ani pe o tablita de argila, a fost descoperita in situl Ugarit din Siria, informeaza maxisciences.com.
Incredibil 13 Jul. 2014
Vizionarea filmelor cu caracter pornografic ofera dependentilor de sex aceeasi stare euforica pe care o simt si dependentii de droguri atunci cand consuma aceste produse, se arata intr-un nou studiu realizat de cercetatorii britanici, potrivit dailymail.co.uk.
Un implant ocular inspirat de telescopul spatial Hubble, conceput de cercetatorii europeni, poate intarzia instalarea orbirii la persoanele diagnosticate cu degenerare maculara, o boala incurabila a ochiului, asociata cu inaintarea in varsta, informeaza dailymail.co.uk.
Incredibil 14 Jul. 2014
Mintea criminala a incitat mereu curiozitatea oamenilor. Cei mai fiorosi si cei mai interesanti sunt, desigur, criminalii in serie. 9AM.ro va prezinta un top al celor mai sangerosi asasini, care se afla inca in viata.
Pancreasul bioartificial, creat de cercetatorii francezi din Strasbourg, cu ajutorul caruia pacientii nu vor mai fi nevoiti sa isi injecteze insulina, va face obiectul primelor teste pe oameni la inceputul anului 2016.
Fetita de 3 ani, din Aurora, Zamboanga del Sur, Filipine, a fost declarata decedata vineri dimineata, iar inmormantarea a fost programata pentru a doua zi.
Incredibil 15 Jul. 2014
Daca vrei sa vezi peisaje nemaipomenit de frumoase nu trebuie sa parasesti aceasta planeta. Exista si pe Terra locuri mirifice, care depasesc orice limita a imaginatiei. Iata 13 destinatii pe care trebuie sa le vezi macar o data in viata.
Plimbarile pe jos, cu durate de 20 de minute, de trei ori pe saptamana, reduc considerabil riscul de declansare a maladiei Alzheimer, au anuntat oamenii de stiinta de la Universitatea Cambridge.
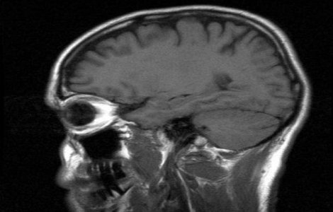
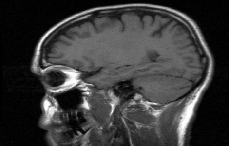
Stiai ca folosesti mult mai mult decat 10% din capacitatea creierului tau? 9AM.ro iti prezinta zece lucruri fascinante pe care nu le stiai despre propriul tau creier.
Dispozitivele electronice, folosite frecvent pentru conversatii, jocuri sau pentru a cauta informatii, pot provoca reactii alergice din cauza prezentei nichelului in componenta acestora.
Incredibil 16 Jul. 2014
Cercetatorii de la NASA afirma ca oamenii vor descoperi forme de viata extraterestra in urmatorii 20 de ani, dar acestea se vor afla, cel mai probabil, in afara Sistemului Solar.
Pe planeta noastra exista insule de o frumusete uluitoare, care atrag in fiecare an milioane de turisti din intreaga lume. 9Am.ro va prezinta un top al celor mai impresionante astfel de destinatii.
Este de doua ori mai inalt ca Statuia Liberatii si se afla in New Jersey, SUA.
De la impiedicatul de propria barba pana la mancatul pana la moarte, 9AM.ro iti prezinta cele mai stupide morti din istorie.
Un artist de origine austriaca a construit in mijlocul Desertului Mojave o piscina cu apa rece pentru calatorii care vor sa se racoreasca.
Incredibil 17 Jul. 2014
9AM.ro va prezinta un top al celor mai frumoase orase din Europa, care sunt putin cunoscute de catre turisti.
Incredibil 18 Jul. 2014
Potrivit unui studiu realizat in Toronto, consumul frecvent de bauturi alcoolice duce la o crestere a popularitatii.
Foloseste formularul de mai jos