Cariile, efectul malpozitiilor dentare
1/4
Malpozitiile dentare ingreuneaza posibilitatea unei igiene orale optime pentru a evita cariile si gingivita. ”Peste 50% dintre pacientii tratati prezinta grave probleme in ceea ce priveste cariile si afectiunile gingiei. Explicatia vine din imposibilitatea de a avea o igiena dentara corecta in cazul malpozitiei dintilor. Aproape toti necesita aparat dentar, nu doar pentru corectarea estetica a danturii, dar si pentru prevenirea altor probleme, cea mai grava dintre ele fiind parodontoza.”, completeaza Dr. Oana Alexandra Omer, medic dentist specialist ortodontie la Clinicile Dr. Melnic.
Parodontoza, boala ce poate duce la pierderea totala a danturii
2/4
Potrivit Organizatiei Mondiale a Sanatatii, afectiunile parodontiului sunt larg raspandite in lume. Cat priveste incidenta acestora, ele se manifesta de obicei in jurul varstei de 10 – 20 ani, dar se poate manifesta si in jurul varstei de 35 – 44 ani. OMS mai raporteaza si faptul ca, in 7 tari europene, afectiunile parodontale sunt in proportie de peste 75%, in alte 13, de 40-75%, iar in 15 dintre acestea, de pana la 40%. Statistic, 3/4 din populatia adulta a lumii, de peste 35 de ani, sufera o forma clara de paradontoza.
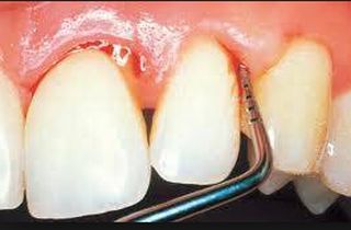
Desi parodontoza este o boala ereditara, de cele mai multe ori, pozitia nenaturala a dintilor poate conduce la gingivita, primul pas al bolii paradontale. Lipsa interventiei in corectarea pozitiei dintilor poate duce chiar la pierderea acestora: „Daca dintii sunt inghesuiti sau unii peste altii este foarte greu sa recuperezi zona aceea, pentru ca nu o poti tine curata. In felul acesta, evolutia bolii este rapida si conduce la pierderi dentare. Mai mult, tineti cont ca un dinte pierdut din cauza parodontozei este greu de inlocuit, deoarece apare problema erodarii osului, prin urmare, in afara de implant, va fi nevoie si de aditie de os. Daca este vorba despre un stadiu avansat al bolii parodontale, riscul este unul real, inclusiv pierderea implantului.”, subliniaza Dr. Oana Alexandra Omer, medic dentist specialist ortodontie la Clinicile Dr. Melnic.
Tot din cauza unei igiene dentare incorecte, dar si a factorilor externi - ex. fumat - , tartrul poate aparea mult mai usor pe dinti, gingiile se vor inflama si vor duce la sangerari in timpul spalatului si nu numai.
Durerile de cap, cauza a muscaturii inegale
4/4
In ceea ce priveste muscatura inegala, aceasta suprasolicita muschii si articulatiile mandibulei, astfel ca cei care se confrunta cu aceste probleme pot simti, uneori, chiar si dureri de cap. Din cauza muscaturii inegale, apare problema masticatiei deficitare, care, in timp, conduce la probleme digestive . Alte efecte ale masticatiei deficitare sunt oboseala musculara, migrene care pot avansa la stadiul cronic, dureri ale fetei sau gatului.
Malpozitiile dentare, adica dintii strambi, inghesuiti sau distantati reprezinta o problema atat a copiilor, cat si a adultilor. Dr. Oana Alexandra Omer, medic dentist specialist ortodontie la Clinicile Dr. Melnic, explica prin intermediul unui comunicat de presa, remis 9am.ro, efectele negative pe care "dintii strambi" le au asupra sanatatii.