Recomandari 16:29
Recomandari 02 Jan.
Recomandari 31 Dec. 2025
Nu ai cont? Aboneaza-te
Social 31 Jan. 2019
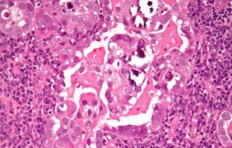
Ianuarie este, la nivel mondial, luna preventiei si constientizarii cancerului de col uterin, intocmai cum octombrie este luna cancerului de san.
International 06 Nov. 2017
”In cei 10 ani de la introducerea vaccinarii HPV, aceasta a prevenit 445.000 de cazuri de cancer de col uterin si aproape 200.000 de decese provocate de aceasta boala”, a declarat doctorul F. Xavier Bosch, cercetator ICO (Institutul Oncologic Catalan) prezent la Bucuresti, la cea de-a X-a Conferinta Nationala de Microbiologie si Epidemiologie.
Social 11 Jan. 2013
Programul de screening de cancer de col uterin va avea alocate fonduri suplimentare in 2013, a anuntat, joi, ministrul Sanatatii, Eugen Nicolaescu.
Social 31 Jan. 2011
Romania se afla pe primul loc in Europa ca rata a mortalitatii cauzata de cancerul de col uterin, riscul de deces fiind de 3 ori mai mare decat media europeana.