Horoscop 04:00
Business ieri
Recomandari ieri
Nu ai cont? Aboneaza-te
Yuppy 04 Sep. 2018
Mai multe vedete care joaca roluri de supereroi in filmele Marvel au ales sa aduca bucurie in viata unui tanar bolnav de cancer. Actorii s-au mobilizat si au transmis mesaje inspirationale unui baiat care are o tumoare pe creier.
International 21 Apr. 2017
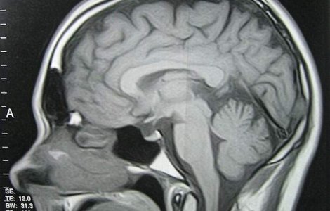
Un tribunal din Italia a recunoscut in mod oficial legatura dintre utilizarea pe termen lung a telefonului mobil si cancer.
Sport 04 Oct. 2011
Fostul dinamovist Cosmin Pascovici, a aflat, in 2006, ca fiul sau are o tumoare la creier. Desi copilul s-a vindecat, tratamentul costa 4000 de lei, lunar.
International 18 Nov. 2008
Senatorul Ted Kennedy, operat in iunie pentru ca avea o tumoare la creier, a revenit luni in Senatul american pentru prima data din luna iulie, relateaza NewsIn.
Foloseste formularul de mai jos