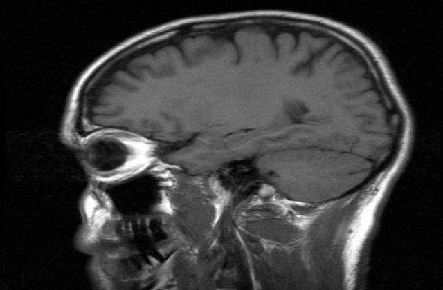
Potrivit unui studiu facut de oamenii de stiinta olandezi exista anumite lucruri extrem de banale care maresc riscul declansarii hemoragiilor cerebrale (care se petrec atunci cand un vas de sange slabit, la nivel cerebral, se sparge). Iata cativa dintre acesti factori care cresc tensiunea arteriala - principala cauza a spargerii capilalelor cerebrale.


Despre autor:


Abonează-te pe

Te-ar putea interesa si:

In lipsa unui acord scris din partea Internet Corp, puteti prelua maxim 500 de caractere din acest articol daca precizati sursa si daca inserati vizibil linkul articolului.