Business 14:00
Recomandari 10:21
Recomandari 10:02
Nu ai cont? Aboneaza-te
Recomandari scris de Alexandra Chivu 06 Dec. 2022
Este foarte important să știm că ochelarii de soare nu sunt doar un accesoriu la modă, ei au rolul semnificativ de a ne proteja împotriva razelor ultraviolete (UVA și UVB). Expunerea repetată și îndelungată la soare poate afecta corneea și cristalinul. Astfel, este esențial să cumpărăm ochelari cu etichetă, care să le ateste calitățile (din magazine de optică). Aceștia blochează cea mai mare parte a radiațiilor solare și a luminii vizibile. Poartă ochelarii de soare atât în timpul verii, cât și pe vreme înnorată. Razele UV pătrund prin nori, având efect similar asupra vederii ca și atunci când cerul este senin.
Social 20 Jan. 2020
Cand vine vorba despre a face curatenie, fiecare dintre noi ne-am facut o anumita rutina. Pana la urma, stim exact de ce avem nevoie si cand, reusind sa adaptam nevoile noastre de igiena la stilul de viata adoptat. Nici nu trebuie sa exagerezi, dar nici sa stai in mizerie. Asta si pentru ca sunt diverse obiecte care trebuie sa fie curatate zilnic, din diverse motive. Si ar trebui sa tii cont de ele, atunci cand ajungi acasa. Poti citi despre acestea, asa cum au fost selectate in Health.com .
LifeStar 12 Dec. 2019
Pentru unele obiecte nu ar trebui sa fie indicatii de utilizare, cand totul este logic, nu?
International 04 Aug. 2019
Majoritatea persoanelor se gandesc in primul rand la sanatatea lor si a celor dragi, aflandu-se mereu in cautarea fericirii si a linistii, dar nu numai: oamenii mai cauta si un strop de noroc. Iar pentru a avea parte de acesta, incearca tot felul de trucuri pentru a-l atrage de partea lor. De exemplu, cand vine vorba despre amenajarea casei, au grija sa aiba mereu plante aducatoare de noroc sau tin cont de regulile feng-shui. Nu trebuie sa faci reamenajari majore, este suficient sa iti achizitionezi unul dintre obiectele aducatoare de noroc, care sa se incadreze si in designul casei, desigur. Iata care ar fi acestea:
Social 06 Jul. 2019
"Ce sa iti iei in bagaj la munte" este una dintre marile probleme ce te "bantuie" cand pleci in zone montane, fie din tara, fie din strainatate. Intr-adevar, atunci cand decizi sa mizezi pe senzatii tari, pe aventura, adrenalina, drumetii in care nu stii ce se poate intampla se dovedeste destul de greu sa hotarasti ce sa pui in bagaj. In plus, acesta nu ar trebui ingreunat nici foarte tare, mai ales daca mergi pe varianta cu cortul si vei fi nevoit sa il cari in spate mai mult timp. Pe drumurile de munte imprevizibilul pandeste la orice pas si cel mai bine ar fi sa iti iei toate masurile de precautie, sa fii pregatit pentru orice situatie neplacuta ce ar putea surveni. Important este sa nu te grabesti atunci cand te apuci de bagajul pentru munte, sa iei in calcul orice situatie posibila, sa faci o lista bine structurata, astfel incat nu cari inutil lucuri care vor sta aruncate in ghiozdan, fara sa fie folosite pana la intoarcere. Daca te organizezi din timp si achizitionezi tot ceea ce trebuie vei avea parte de o vacanta minunata, in mijlocul naturii. Daca esti mai relaxat de fel si faci parte din categoria celor care considera ca in mijlocul naturii nu ai nevoie de nimic altceva in afara de peisaje splendide, te inseli. Nici nu ai idee de cate lucruri ai putea avea nevoie intr-o astfel de vacanta. Inainte de a te decide totusi ce sa iti iei in bagaj la munte ar fi bine sa ai in vedere un ghiozdan foarte bine structurat, astfel incat sa iti incapa obiectele de care ai nevoie, fara sa fii nevoit sa lasi acasa ceva care ti-ar putea salva viata, la un moment dat. Cand vine vorba despre supravietuire, exista cateva obiecte care te-ar putea scoate din impas. Iata cateva chiar aici . Intr-o alta ordine de idei, pana la urma lucrurile pe care ti le iei in bagaj la munte sunt menite sa iti faca concediul mai placut, sa fii linistit ca ai plecat cu tot ceea ce trebuia, sa iti usureze viata in locurile catre care iti sunt indreptati pasii. Cu acestea in minte, ne-am gandit sa va prezentam o lista cu obiectele ce nu ar trebui sa lipseasca din niciun bagaj de munte.
Social 02 Jul. 2019
Este perioada vacantelor si nu putini sunt cei care aleg sa mearga cu cortul sau sa se aventureze in expeditii pe munti sau in locuri mai putin cunoscute si, implicit, mai putin frecventate de turisti. Fiind singur sau doar cu un partener de drum, te poti astepta la orice eveniment neplacut. Iar pentru a fi pregatit, trebuie doar sa ai la tine cateva obiecte obisnuite ce iti pot salva viata. Iata care sunt:
Social 13 Jun. 2019
Oricine isi doreste o baie moderna, nu-i asa? Atunci cand pleci in vacanta, in alegerea cazarii cantareste destul de mult nivelul de calitate si confort pe care baia existenta il ofera. Dar oare de ce in baia din casa ta nu pui atat de mult pret pe accesoriile moderne?
International 19 Jan. 2019
Oamenii pun la vanzare tot felul de produse, insa, se pare ca cel mai greu este sa pui la vanzare oglinzi, pentru ca este destul de dificil sa realizezi o fotografie profesionista, in care sa nu-si faca aparitia reflexii bizare. Oamenii si-au dat silinta si chiar daca nu stim daca a fost vorba despre o strategie de promovare pentru a atrage mai multi doritori sau simple greseli, rezultatul a fost unul de-a dreptul hilar. Iata dovezile:
Incredibil 15 Sep. 2018
Asemenea oamenilor, animalele trec printr-un anumit proces inainte de a-si putea recunoaste propria imagine. Ceea ce este interesant in cazul cainilor este ca acestia au capacitatea de a recunoaste alti caini sau alte animale, insa nu se pot recunoaste pe ei insisi. "Cainii sunt foarte inteligenti si adaptabili, la fel ca si multe alte animale, insa ei nu sunt capabili sa se recunoasca in momentul in care se privesc in oglinda, intr-o fotografie sau intr-o filmare" , sustine Liz Stelow, cercetator in domeniul medicii veterinare la Universitatea din California, citat de nationalgeographic.com . Cainii si pisicile se ghideaza mai mult dupa miros, decat dupa vaz, motiv pentru care imaginile pe care le vad in oglinda nu prezinta interes pentru aceste animale de companie daca nu au si un miros. La polul opus, exista animale precum delfinii, elefantii, cotofenele si unele specii de maimute se recunosc in oglinda, in timp ce pasarile flamingo pot recunoaste doar imaginea altor specii. Astfel, in cele ce urmeaza va prezentam cateva reactii ale animalelor cand se vad prima data in oglinda, care sunt de-a dreptul adorabile.
Incredibil 07 Jul. 2017
Afla cateva lucruri inedite despre aceste animale.
International scris de Clara Vacaru 05 Jul. 2017
Adanc inradacinate in istorie, superstitiile sunt si astazi prezente in aproape toate culturile si, chiar daca de multe ori sfideaza de-a dreptul ratiunea, sunt respectate.
Social 26 Jun. 2017
Sergiu si Marinela, doi tineri din Arad, au adus in scena cel mai nou trend in materie de evenimente: cabina foto oglinda.
Social scris de Clara Vacaru 13 Apr. 2017
Coincidentele cele mai greu de crezut sunt cele care se intampla in viata de zi cu zi. Precum cele din imaginile de mai jos.
International scris de Clara Vacaru 09 Apr. 2017
Partea buna la selfie-uri este ca nu mai depinzi deloc de o alta persoana pentru a-ti face o fotografie perfecta. Partea mai putin este insa ca, de multe ori, uitam ca si fundalul joaca un rol foarte important in aceasta "ecuatie". Iar daca il ignoram, apar imagini precum cele de mai jos.
Incredibil 30 Aug. 2016
Asemenea oamenilor, animalele trec printr-un anumit proces inainte de a-si putea recunoaste propria imagine.
Yuppy 09 Jun. 2016
O fetita care a murit la 12 ani de cancer a lasat un mesaj emotionant in spatele oglinzii.
Yuppy 19 Apr. 2016
Raspunsul micutului a devenit viral.
LifeStar 07 Sep. 2015
Exista fobii comune ca teama de avioane, de intuneric, de gandaci sau reptile, insa si altele bizare in randul celebritatilor care te vor surprinde.
Social 12 Aug. 2015
Unele superstitii sunt adanc inradacinate in societatile moderne si in toate culturile lumii, astfel incat cedam in fata lor.
Social 12 Jul. 2015
Apa oxigenata este non-toxica pentru uz general, fapt ce-i asigura multiple utilizari. Iata cateva dintre acestea.
Incredibil 08 Jul. 2015
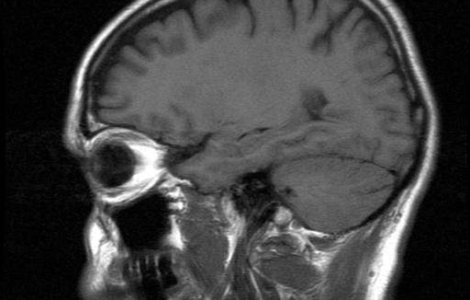
Reabilitarea neurocognitiva a unui pacient necesita masuri luate din timp, chiar din a doua zi de terapie intensiva.
Yuppy 01 Jul. 2015
Uite cum reactioneaza animalele salbatice atunci cand isi vad reflexia in oglinda.
Social 19 Jun. 2015
Se spune ca ochii sunt oglinda sufletului, dar o privire mai atenta centreaza o lumina interesanta asupra diverselor aspecte ale biologiei umane.
Social 21 May. 2015
Credeati ca singura utilizare posibila a unui astfel de produs este doar pentru uscarea parului? Dimpotriva, este un instrument multifunctional.
Yuppy 20 Dec. 2012
Cum arata Casa Oglinda de pe malul Oceanului Atlantic.
Yuppy 26 Jul. 2012
La aproximativ 4.000 de metri deasupra marii exista un loc in care cerul pare ca se intalneste cu pamantul. Este vorba despre Salar de Uyuni, cel mai mare plato
Yuppy 18 Jul. 2014
Fara pitzi cu botic de rata, fara poze la mare sau in toaleta clubului. Singurele selfieuri pe care merita sa le vezi sunt acestea si sunt super creative.
Yuppy 06 Aug. 2013
Un timelapse fermecator ne-a atras atentia si care merita vizionat.
Incredibil 23 Mar. 2012
Robotelul verde Qbo invata cine e si cum arata. Iata cum reactioneaza micuta creatura din metal cand se vede in oglinda.
Social 08 Dec. 2011
Atunci cand vorbesc despre ei insisi, romanii se caracterizeaza ca fiind in principal persoane civilizate, deschisi sa invete si loiale.
Foloseste formularul de mai jos