Cu toate ca atunci cand sunt privite cu ochiul liber "chicken nuggets" par sa fie facute doar din carne, lentila microscopului a aratat crudul adevar: jumatate din compozitie poate fi numita orice, numai carne nu, scrie Daily Mail.
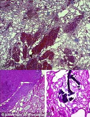
Dr Richard D. deShazo un profesor de medicina la Universitatea din Mississippi a analizat doua varietati de "chicken nugget" (KFC si Chick-Fill-A) la microscop.
Conform descoperirilor facute la primul restaurant, doar 50% din continutul produselor era carne, restul fiind doar grasime, vase de sange, nervi si alte tesuturi din diferite parti ale pasarilor care in mod normal nu ar putea fi consumate.
In cel de-al doilea restaurant datele au fost si mai socante: 40% carne si restul era un amestec de grasime, organe si oase de pui. Doctorul a comparat produsele servite in fast-food-uri cu "bucati de resturi de pasare combinate cu "mazga" de grasime si prajite in mult ulei".
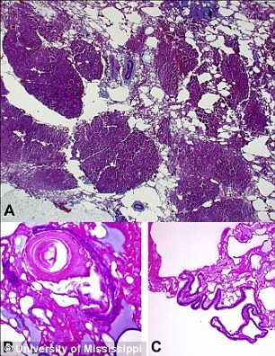
O alta ancheta realizata de Natural News a dezvaluit ca la nivel microscopic, produsele de aceeasi natura vandute de McDonald's (McNuggets) prezinta la nivel microscop diferite forme neobisnuite: fibre inchise la culoare, pete albastre si portiuni gelatinoase.
Despre autor:
Te-ar putea interesa si:
In lipsa unui acord scris din partea Internet Corp, puteti prelua maxim 500 de caractere din acest articol daca precizati sursa si daca inserati vizibil linkul articolului.
Mai multe despre
-
Ce planuri are PKO Bank în România: cea mai mare bancă din Polonia are active...
Sursa: futurebanking.ro
-
Sumă record cheltuită de utilizatorii OnlyFans în 2024. Câți bani au ajuns la...
Sursa: wall-street.ro
-
Un brand britanic de fish and chips intră pe piața din România. Cine este...
Sursa: retail.ro
-
Test Drive Renault Clio 6 E-Tech: sustenabil și economic, dar și două neajunsuri
Sursa: green.start-up.ro
-
Românul plecat din Giulvăz în Spania prin Erasmus și ajuns în Copenhaga, unde...
Sursa: start-up.ro
-
Horoscopul bani 6-12 aprilie: Zodiile care dau lovitura financiară săptămâna...
Sursa: garbo.ro
-
Denise Rifai revine pe Antena 1 cu o nouă emisiune. Ce surprize pregătește...
Sursa: kudika.ro